
CASE DISCUSSION
Enhancing Radiographic Interpretation in Endodontics
Presented from India by Dr. Nitish MathurViews
12,610
0
Credit Points
0
Learning Hours
0
CPD/CME Points
0
Courses Completed
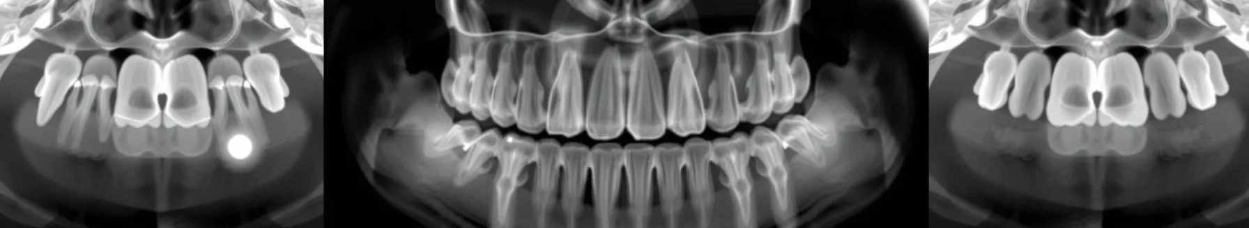
Case Description
Diagnostic radiology includes defining and differentiating various normal structures in addition to establishing the existence and kind of pathosis. It also requires determining root and pulp anatomy. Not only must the roots and canals be recognised and counted, but also atypical tooth structure,...
Case Summary
- Preoperative radiographs are crucial in endodontics, but dentists often misjudge them, leading to root canal failures. Dentists need to carefully analyze these radiographs to avoid errors and ensure treatment success.
Speaker Profile

Dr. Nitish Mathur
Alumni - Royal College of SurgeonsConsultant Endodontist & Laser Specialist, Bangalore
Disclosures
Assimilate requires every individual in a position to control educational content to disclose all financial relationships with ineligible companies that have occurred within the past 24 months. Ineligible companies are organizations whose primary business is producing, marketing, selling, re-selling, or distributing healthcare products used by or on patients. All relevant financial relationships for anyone with the ability to control the content of this educational activity have been reviewed and mitigated. Others involved in the planning of this activity have no relevant financial relationships.