
CASE DISCUSSION
Use of CBCTs : Endodontics for Predictable Management
Presented from by Dr. Shaurya Srivastava M.
0
Likes
2782
Views
111
Shares
139
Bookmarks
0
Credit Points
0
Learning Hours
0
CPD/CME Points
0
Courses Completed
Case Description
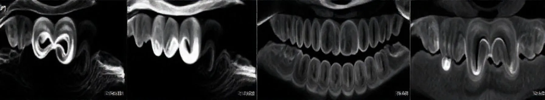
The use of CBCT in endodontics and this diagnostic technique is increasingly required in order to have a more accurate prognosis of the teeth to be treated.CBCT has great potential to become a valuable tool for diagnosing and managing endodontic problems, as well as for assessing root fractures,...
Case Summary
- CVCTs provide a three-dimensional view, crucial for inconclusive diagnoses, complex anatomy, retreatment cases, and assessing perforations or fractures. While 2D radiographs offer limited information, CVCTs enable better evaluation of root canal failures and anatomical variations, improving treatment predictability.
Speaker Profile
